Muestras incluidas:
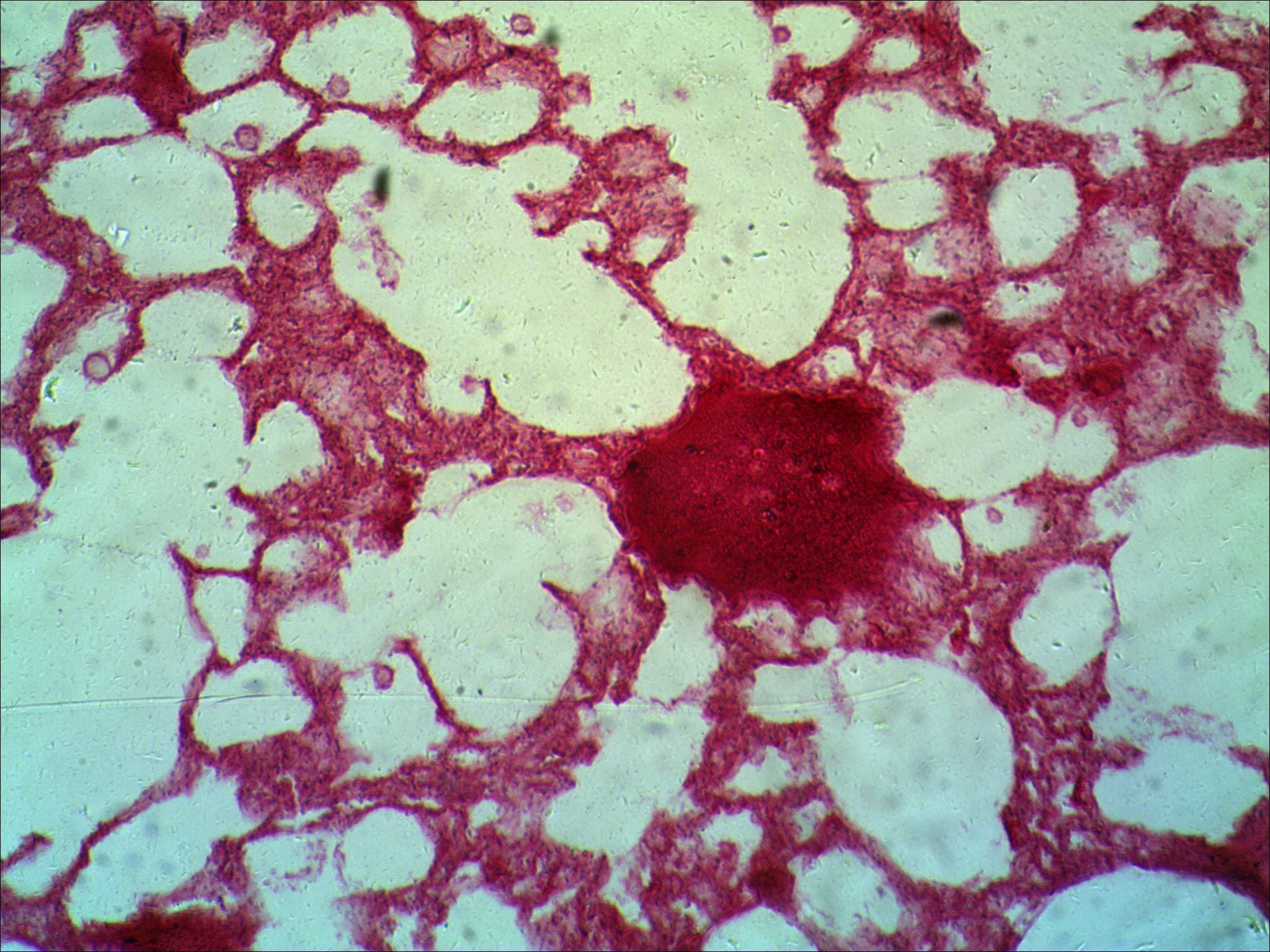
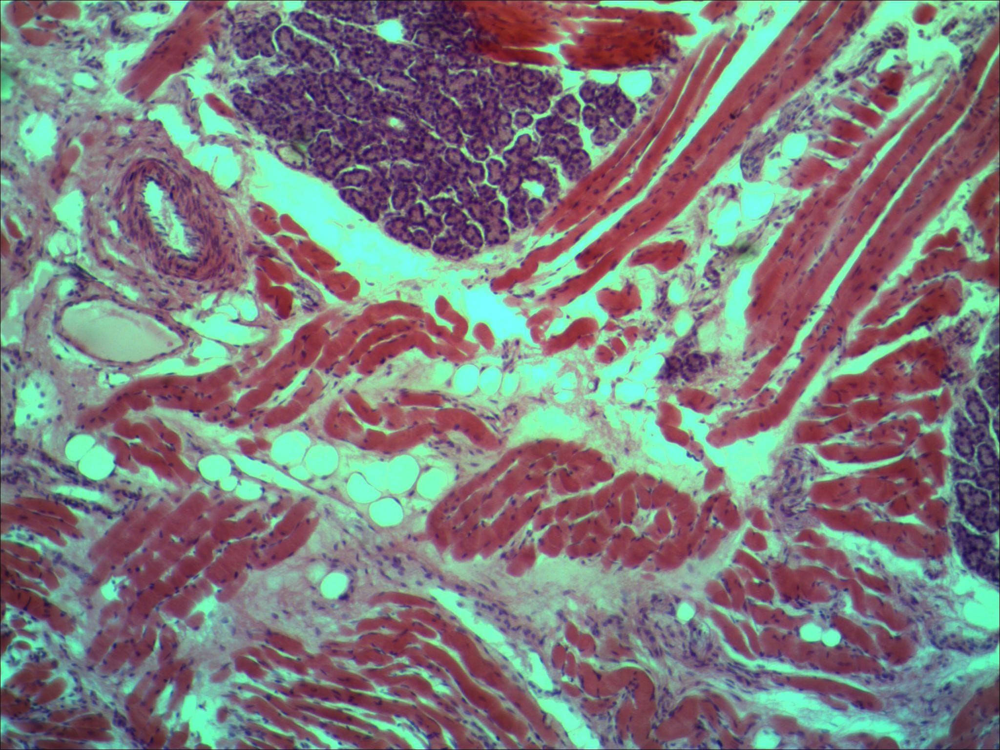
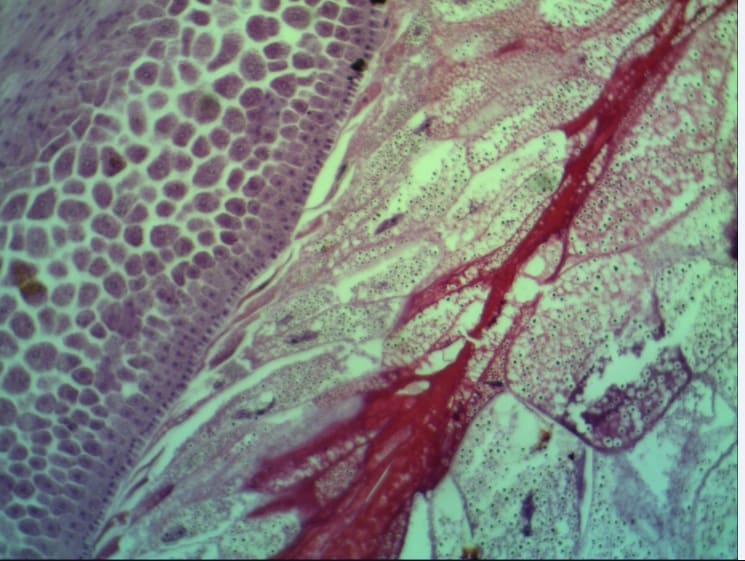
| 1. Tejido Conectivo Laxo 2. Médula Espinal 3. Botón Terminal de Neurona Motora 4. Sección de Estómago Mamífero 5. Riñón Mamífero 6. Arteria y Vena 7. Vaso Sanguíneo de Pulmón 8. Vaso Sanguíneo de Riñón 9. Papila Gustativa 10 Frotis Bucal 11. Frotis de Espermatozoides Humanos 12. Mitosis de célula animal, Parascaris equorum 13. Hydra a través de testículos |
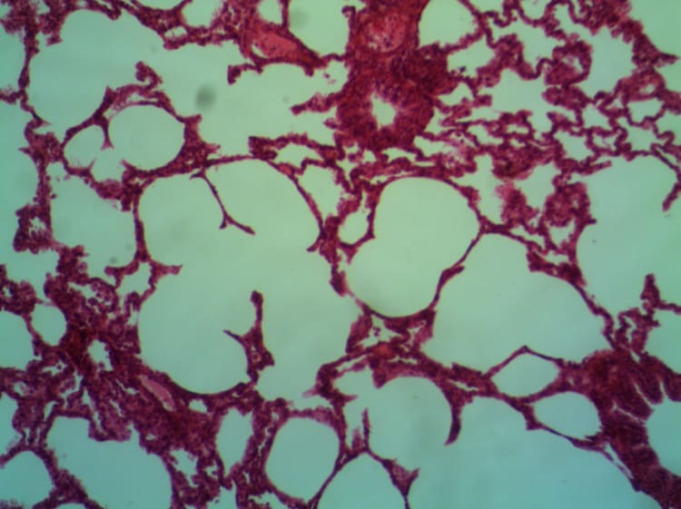
14. Hydra sp. sección transversal 15. Hydra sp. sección logitudinal 16. Prótalo de Helecho 17. Semilla de Maíz, Zea mays c.s. 18. Spirogyra 19. Pulmón Mamífero 20. Colon Mamífero 21. Tráquea Mamífero 22. Páncreas Mamífero 23. Ovario Mamífero 24. Bazo Mamífero 25. Esperma |
*Imagen referencial































